成都奥创生物科技有限公司
技术贴士
您的位置: 首页 > 实验资料 > 技术贴士 >
实验资料
脑组织取材和常见病理 检测推荐
1.大脑皮质(Cor):
主要由神经元的胞体及其突起、神经胶质细胞及神经纤维组成。其神经元都是多级神经元,按其细胞形态分为锥体细胞(PyC)、颗粒细胞和梭形细胞。大脑皮质的细胞构筑基本上是6层结构。在不同区域略有差异和特点。由表层向深层分为分子层、外颗粒层、外锥体细胞层、内颗粒层、内锥体细胞层、多形细胞层。
2.大脑海马:
海马(H)是大脑发育过程中较保守的区域。研究表明,其细胞分子机理是依赖于海马突触可塑性。海马根据细胞形态分为CA1、CA2、CA3、CA4区,通常情况下术语上的“海马结构”指的是齿回状和CA1~CA3部位,以及脑脚下。一般组织图片上多显示前3个区。
大鼠海马CA1区,大鼠海马CA2区;
COR/皮质、MED/髓质、H/海马、DG/齿回状、DIC/间脑、N/神经元、NC/胶质细胞、BV/血管。
1、小鼠脑解剖取材:
(1) 剥开头部皮肤暴露出颅骨。
(2) 在小脑后端与脊柱的间隙处插入剪刀,剪断颈椎骨,分离出颅骨。
(3)用解剖小剪刀沿颅顶骨中缝剪开,在嗅球处或大脑前半段可用手术刀轻轻划开。
(4) 揭开头顶部颅骨暴露出脑。
(5)用小剪剪断脑底部神经,轻轻剥离摘出脑组织,注意不要损伤组织。
(6) 取出完整脑组织后及时固定或速冻,防止细胞自溶。
「固定后取材」冠状面—常见切面及切面对应可观察部位:
「固定后取材」水平面:可同时观察嗅球,皮层,纹状体,海马,脑干,小脑等:
切片:
大、小鼠脑石蜡切片厚度一般为3μm。其脑内核团很多,根据研究目标确定取材部位。一般是取大致范围脑组织后,在切片过程中边切片边在显微镜下观察进行所需部位的定位切片。切片时需先粗修修出完整组织后再精修定位。前10张的切片由于容易出现细纹和裂片一般不予使用。
1、全脑缺血动物模型—模型成功的标志:大鼠应出现意识障碍,翻正反射消失。一般用TTC大体染色进行,TTC(2,3,5—氯化三苯基四氮唑)是脂溶性光敏感复合物,它是呼吸链中吡啶—核苷结构酶系统的质子受体,与正常组织中的脱氢酶反应而呈红色,而缺血组织内脱氢酶活性下降,不能反应,故不会产生变化呈现苍白色。
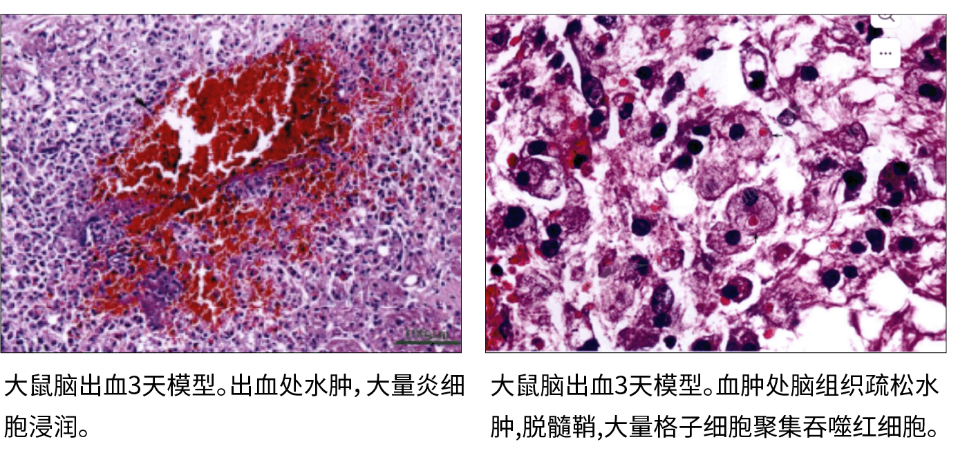
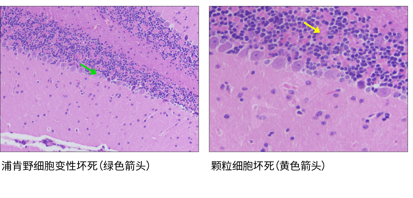
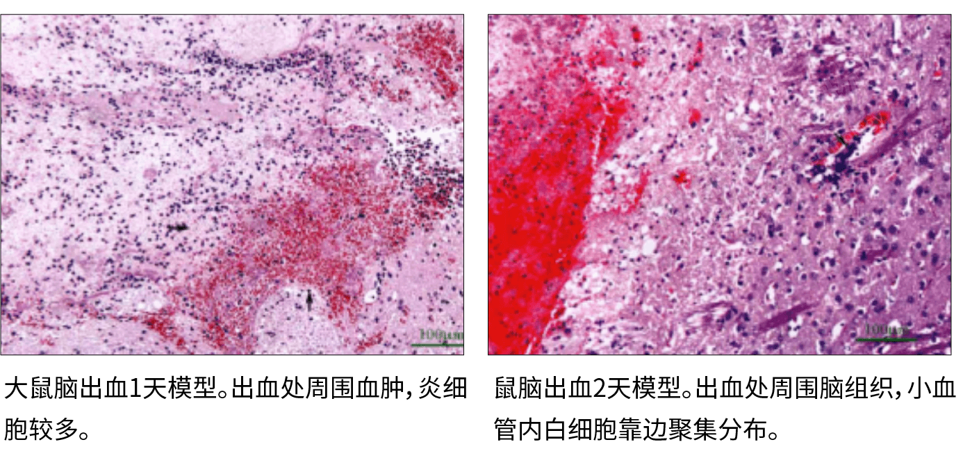
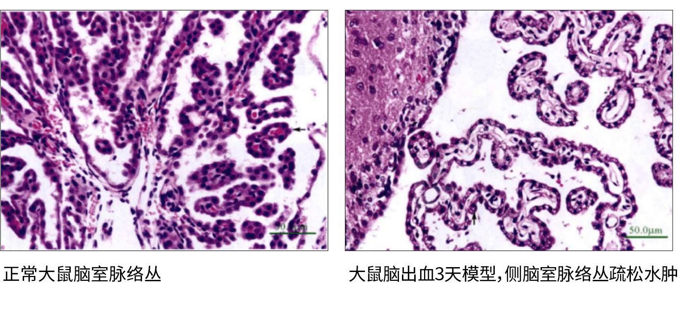
2、脑出血动物模型—病理学特点:出血侧半球肿胀、充血,血液流入蛛网膜下腔或破入脑室,严重者可见脑室移位、变形和脑疝形成。
以下示例为脑出血模型病理改变:
1、HE染色:观察组织基础形态:
2、神经元尼氏体染色(甲苯胺蓝染色):主要观察尼式体
3、甘氨酸银染色:观察神经纤维
4、LFB 染色:观察髓鞘
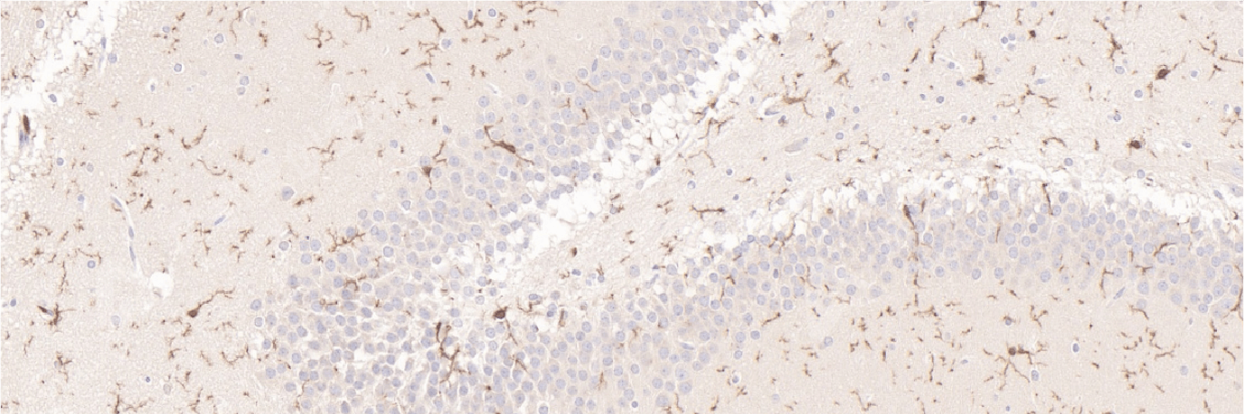
5、组化染色(IBA-1)
6、组化染色(neun)
7、荧光染色(GFAP)
8、荧光染色(β-tublin)
1:测量分析:
分析结果采用数字切片扫描仪/显微镜进行图像采集。每张切片先于低倍下观察全部组织,再分别选取3个视野采集200/400倍显微图像。采用Image-ProPlus图像分析系统测定所采集全部图像的荧光强度和面积,并计算每张图像的平均荧光强度,数据以积分光密度(IOD)表示;每例样本的平均荧光强度为3张图像的平均荧光强度的平均值。如:
2:病理描述
采用数字切片扫描仪/显微镜进行图像采集。每张切片先于低倍下观察全部组织,再采集200、400倍显微图像各一张。


地址:四川省成都市高新区天府大道北段1480号孵化园1号楼A座2-15 备案号:蜀ICP备2022006332号-1