皮肤保护作用:皮肤具有屏障作用,能防护外界物理性损伤、化学性刺激和微生物人侵,还参加免疫应答,为人体免疫系统的重要组成部分
表皮层
角质层(stratum coreum)为表皮的表层,由多层扁平的角质细胞(hormy cell)组成。角质细胞是一些角化干硬的死亡细胞,无细胞核和细胞器皮脂膜,HE染色中呈现粉红色且无明显的细胞边界。
颗粒层( stratum granulosum)位于棘层上方,由3~5 层梭形细胞组成,细胞核和细胞器渐趋退化。胞质内出现许多大小不等、强嗜碱性透明角质颗粒(keratohyalin granule),其本质是富含组氨酸的蛋白质。颗粒层细胞内板层颗粒逐渐增多,多分布在细胞周边,与细胞膜融合后将其中的糖脂等物质释放到细胞间隙内,封闭细胞间隙构成阻止物质通过表皮的主要屏障。
棘层(stratum spin0-sum)位于基底层上方,由4~10层细胞组成,细胞向四周伸出许多细短的棘状突起,故称棘细胞。棘细胞体积较大,深层细胞呈多边形,浅层细胞逐渐变扁。光镜下,胞核较大,圆形位于细胞中央,胞质丰富,弱嗜碱性。
基底层(stratumbasale)为表皮最深层,附着于基膜与深层结缔组织的连接面凹凸不平,以扩大两者的接触面,利于物质交换。基底层由一层立方或矮柱状的基底细胞(basalcell)组成光镜下,基底细胞核较大,呈圆形或椭圆形,染色较淡。细胞质较少,强嗜碱性。
大鼠皮肤CK14绿荧光拍照
真皮层
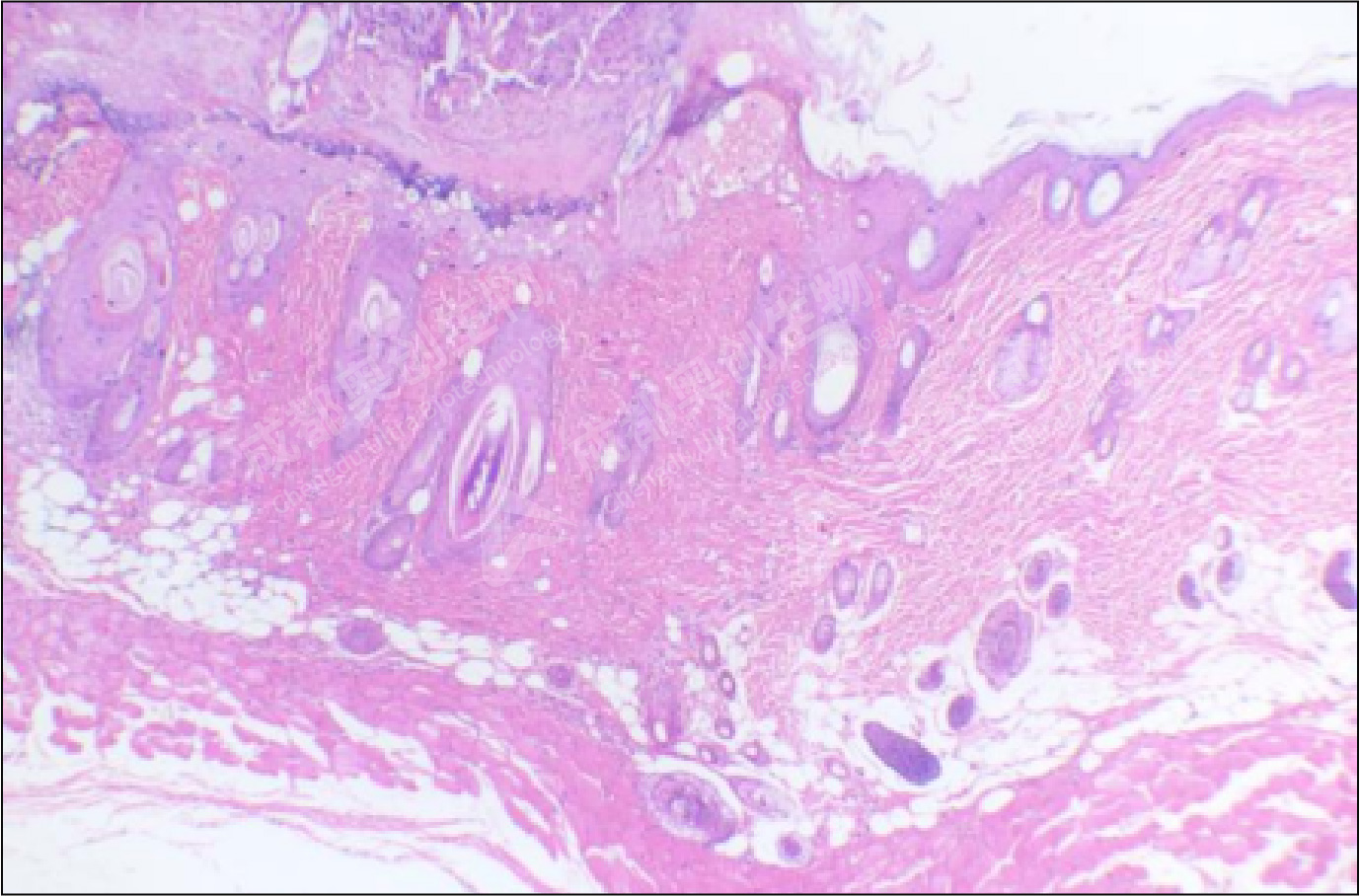
乳头层 乳头层(papillary layer)位于真皮浅层,紧邻表皮的基底层,为疏松结缔组织。乳头层突向表皮形成许多嵴状或乳头状凸起,称真皮乳头(dermal papilla)
织层(reticular layer)位于乳头层下方,较厚,是真皮的主要组成部分,与乳头层无明确分界。网织层由致密结缔组织组成,粗大的胶原纤维束交织成网,弹性纤维丰富,使皮肤具有较大的韧性和弹性。此层有许多血管、淋巴管和神经,还有毛囊、皮脂腺和汗腺,此外,还可见环层小体。
皮肤Col-I红 荧光拍照

皮肤伤口愈合模型:常见皮肤伤口愈合模型有划痕、圆形缺损。
大鼠皮肤圆形缺损模型造模方式
动物:8周龄200g左右雄性大鼠
造模方式:10%水合氯醛(3 mL/kg)麻醉,麻醉后去除背毛,在脊柱两侧各制备两个直径为1-1.5cm的圆形全层皮肤缺损创面,暴露创面,保持垫料卫生。第2-3天创面可结痂,7-21d可形成皮肤瘢痕模型,本模型持续不少于3周。
常见研究方向:皮肤损伤修复、皮肤损伤药物注射修复、皮肤损伤膏药涂抹等
常见研究内容:通过持续不间断的3-5周的药物治疗,每周观察愈合情况,分时间梯度取愈合后的皮肤组织进行HE、QPCR、IHC、IF等检测,即可观察药物的治疗效果,研究相关机制。
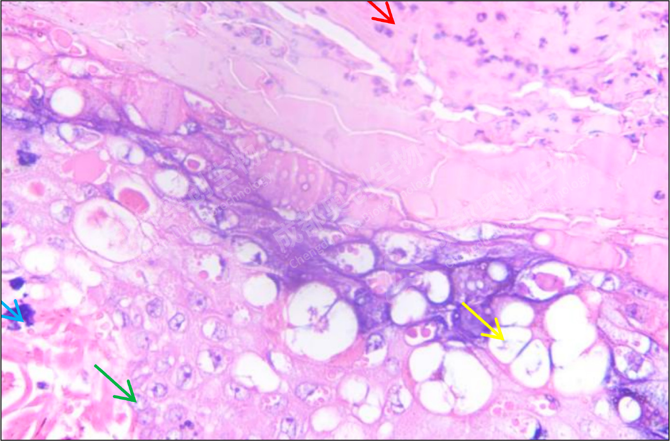
皮肤伤口HE 40X1
400x1 炎细胞浸润(红色箭头)、新生血管(蓝色箭头)上皮细胞增生(绿色箭头)脂肪细胞(黄色箭头)
低倍镜下:伤口处皮肤各层结构较为清晰,瘢痕组织覆盖新生表皮;真皮层内皮肤附属器肥大,致密结缔组织内含大小不一空洞;皮下组织层结构模糊;肌层肌纤维排列紧密,均质红染。高倍镜下:瘢痕组织内大量炎细胞浸润;伤口处表皮层新生表皮明显,见上皮细胞增生、新生血管和脂肪细胞;真皮层内毛囊肥大,偶见毛囊周成纤维细胞坏死及炎细胞浸润,致密结缔组织内含有大量脂肪细胞;皮下组织层稀疏结缔组织再生不明显,可见大量脂肪细胞。
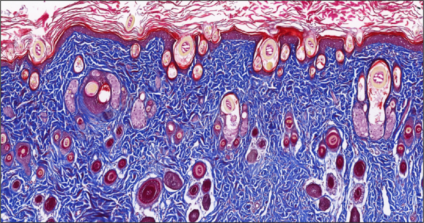
检测胶原相关实验:masson、天狼猩红、VG等
Masson染色100X白光拍照,胶原纤维呈现蓝色
天狼猩红 白光拍照 胶原纤维呈现红色
检测弹性纤维相关:EVG、间苯二酚、维多利亚蓝等
1、实验室取材样本要求
(1)动物材料取用时需对动物施以麻醉,常用的麻醉剂有异氟烷、水合氯醛(部分杂志不接受该麻醉方式)等,或将动物杀死后迅速取出所需要的组织;
(2)取材必须新鲜,这一点对于从事细胞生物学研究尤为重要,应该尽可能割取生活着的组织块,并随即投入固定液,一般投入4%多聚甲醛固定,1:20≥组织:固定液≥1:6;注意皮肤组织容易在固定后卷曲,可以用滤纸或纱布将组织固定在包埋框中进行固定
(3)切取材料时刀要锐利,避免因挤压组织使其受到损伤,特别注意皮肤组织不要拉扯,防止皮层脱离或分层;
(4)切取的材料应小而薄,便于固定液迅速渗入内部。一般厚度不超过3mm,大小不超过5×5m㎡;
2、包埋蜡块寄送实验样本要求:
(1)白片制作所需要的组织蜡块可由您提供或委托本试验中心制作,蜡块需常温保存;
(2)冰冻组织块需冷冻运输;
3、实验冰冻切片样本取材要求:
(1)取材新鲜,并于取材后立即置于恒温冰箱冷冻,待组织冷冻变硬后冷冻运输送检;
(2)用于活检或手术切除标本应在2小时内取材或固定,避免组织自溶及抗原变性等影响免疫组化结果;
(3)一般厚度不超过3mm,大小不超过1×1c㎡;