成都奥创生物科技有限公司
技术贴士
您的位置: 首页 > 实验资料 > 技术贴士 >
实验资料
「病理实验有话说」- 眼球的结构功能和取材
1、眼球壁
自外向内分为纤维膜、血管膜和视网膜三层。
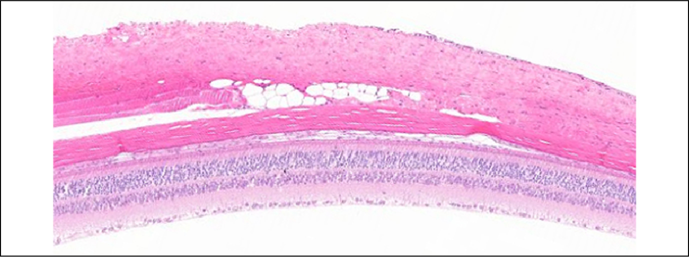
(1) 纤维膜(fibrous tunic)
为眼球壁的最外层,主要成分是致密结缔组织。前部1/6为角膜,后部5/6为巩膜。两者交界处称角膜缘。
角膜(cornea):形似表玻璃,圆形,略向前方突出。角膜无色透明,是重要的屈光结构,由外向内分为角膜上皮、前界层、角膜基质、后界层和角膜内皮共五层。
角膜内无血管,其营养由房水和角膜缘血管的渗出液供应。
角膜是眼球的第一道屈光介质,它的透明与以下结构特点有关:①无血管和色素。②角膜基质内的纤维粗细均匀,排列规则,屈光指数相同。③基质中含硫酸软骨素、硫酸角质素和适量的水分。这些因素之一发生异常,即可影响角膜的透明度。自外向内分为纤维膜、血管膜和视网膜三层。
CEn/角膜内皮 、CS/角膜基质、CEp/角膜上皮
Bc/基底细胞、Pc/翼状细胞、Fc/扁平细胞
巩膜(sclera):呈乳白色,由致密结缔组织组成。胶原纤维粗大成束,交织成网,纤维束之间有少量的成纤维细胞和血管。巩膜质地坚韧,有支持和保护眼球的作用。
(2) 血管膜(vascular tunic)
为眼球的中层,主要由富含血管和色素细胞的疏松结缔组织构成,自前向后分为虹膜、睫状体、脉络膜三部分。
脉络膜(choroid):为血管膜后2/3部分,含大量血管和色素细胞。色素细胞多突状,密布于血管间的疏松结缔组织中。
睫状体(ciliary body):位于脉络膜的前方,环形。
虹膜(iris):呈环状,中央为瞳孔。
(3) 视网膜(retina)
为眼球壁的内层,主要由四层细胞组成,其中一层为色素上皮,另外三层为神经元。
CP/睫状突、R/视网膜、I/虹膜
NFL/视神经纤维层、INL/内核层、RCL/视锥视杆层、GCL/节细胞层、OPL/外网层、PCL/色素上皮层、IPL/内网层、ONL/外核层
2、内容物
内容物包括房水、晶状体、玻璃体等。
(1) 房水(aqueous humor),充盈在眼房内,为无色透明液体。
(2) 晶状体(lens),为有弹性的双凸透明体。
(3) 玻璃体(vitreous body),充填于晶状体状体和视网膜之间,为无色透明的胶状体,含水量达99%,其余为含冇透明质酸的黏蛋白及少量胶原原纤维。
1、眼球固定液的选取
对眼球的研究多集中在视网膜各层成分和结构的研究,但巩膜、脉络膜、视网膜三层膜结构质地差异较大,连接也不甚紧密,在眼球病理制片过程中如用渗透力差的甲醛类固定液,往往会因渗透固定不充分不及时,且各层收缩程度不一致,出现整个眼球凹陷变形,脉络膜、视网膜收缩脱落,褶皱,碎裂等问题。
眼球固定液专门用于动物眼球后壁的固定,其渗透力强,与房水等渗,可快速渗透眼球后壁各层膜结构,将其及时充分固定,且不会因渗透压原因导致眼球变形分层,从而保证视网膜-脉络膜-巩膜连接紧密且分层清晰,不脱落,碎裂。同时也能较好保留抗原,不影响后续抗体标记及细胞核的染色。眼球固定液对角膜结构有一定的破坏作用,如需观察角膜结构,建议用多聚甲醛固定液。
眼球固定液视网膜
多聚甲醛固定液视网膜
2、眼球的取材
找到视神经及角膜的中心点,平行于两者连线进行取材,尽量保留1mm以内的距离方便后续切片定位。
建议在取材时去除晶状体,晶状体成分较硬,染色后易叠片、掉落碎屑影响观察视野,如下图:

地址:四川省成都市高新区天府大道北段1480号孵化园1号楼A座2-15 备案号:蜀ICP备2022006332号-1