成都奥创生物科技有限公司
技术贴士
您的位置: 首页 > 实验资料 > 技术贴士 >
实验资料
「病理实验有话说」- 肌肉的结构功能及常见造模
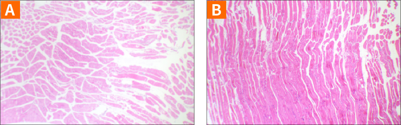
1、骨骼肌
实验常见骨骼肌为大鼠或小鼠腿部腓肠肌,大多数骨骼肌借肌腱附着在骨骼上。分布于躯干和四肢的每块肌肉均由许多平行排列的骨骼肌纤维组成,其周围包裹着结缔组织。
腓肠肌横切HE(A)、腓肠肌纵切HE(B):
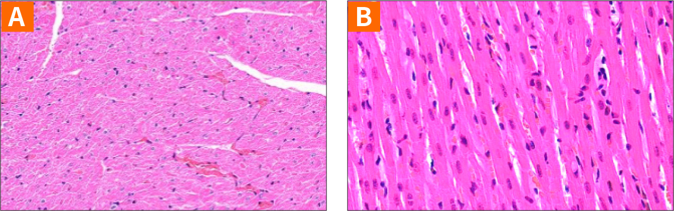
2、心肌
心肌分布于心脏和邻近心脏的大血管根部,其收缩具有自动节律性,缓慢而持久,不易疲劳。
心肌横切HE(A)、心肌纵切HE(B):
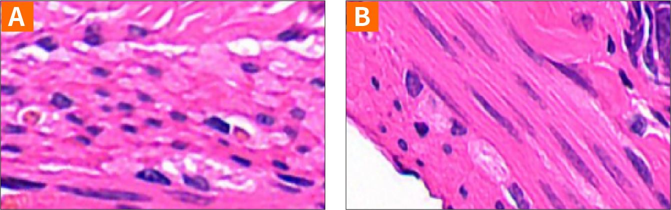
3、平滑肌
平滑肌广泛分布于血管和淋巴管的肌层,许多内脏器官以及某些器官的被膜内,收缩缓慢而持久。
平滑肌横切HE(A)、平滑肌纵切HE(B):
1、样本固定区别:肌肉固定液相对于通用型固定液,对肌肉的固定更加均匀,且穿透性强,收缩性小,固定效果更佳。
2、切片区别:
(1)4%通用型组织固定液:肌肉组织有泛白现象且容易掉片,肌肉收缩导致切出来的肌纤维容易裂;
(2)环保型GD肌肉固定液:形态较好且摊片时间更快,对肌肉的固定更加均匀,且穿透性强。
3、染色效果和形态区别:
(1)4%通用型组织固定液:肌肉束收缩较严重,几乎被挤压为方块形;高倍镜下有明显颤痕;肌肉束有撕裂出肌纤维小分支;有明显掉片;
(2)环保型GD肌肉固定液:肌肉束呈饱满圆形且高倍镜下只有部分视野有较少颤痕;肌肉束没有分支形态饱满完整且几乎没有掉片。
4%通用型组织固定液横切(A)、纵切(B):
环保型GD肌肉固定液横切(A)、纵切(B):
1、骨骼肌钝挫伤模型-目前应用最广泛、最经典的急性肌肉损伤模型,主要用于模拟临床上的撞击伤或挫伤。
造模方法:以 170g 重物,从 70cm 高度沿引导管自由下落,使用底部直径0.5cm、带弹簧缓冲的圆钝型打击头,对大鼠腓肠肌进行连续打击5次。
模型特点:(1)可造成骨骼肌中度损伤。(2)打击后3天可见大量炎症细胞浸润,肌纤维大量溶解坏死;约14天组织能自行修复,但可能留有瘢痕。
2、运动性肌肉损伤模型-型用于模拟过度运动导致的肌肉微损伤或延迟性肌肉酸痛。
造模方法:通常采用一次性间歇性下坡跑方案。跑台坡度-16°,速度16 m/min,采用运动5分钟、休息2分钟的间歇模式,总运动时间120分钟。
模型特点:(1)主要引起骨骼肌微损伤,而非大面积的细胞坏死。(2)运动后可见骨骼肌超微结构(如肌纤维、线粒体)改变,以及结蛋白和波形蛋白的异常表达。
3、药物注射诱导模型-通过注射生物毒素直接破坏肌纤维,造成严重的、可再生的肌肉损伤。
造模方法:向目标肌肉(如腓肠肌)内注射肌肉毒素。例如,使用微量注射器注射 notexin 溶液。
模型特点:(1)损伤非常严重,表现为大量肌肉细胞破裂、坏死,周围伴有高比率的中性粒细胞和淋巴细胞浸润。
4、慢性复合损伤模型-模拟人类因长期不良姿势或重复性劳损导致的慢性肌肉损伤(如慢性非特异性腰痛)。
造模方法:通常采用物理打击结合强迫姿势的方法。在垂直打击大鼠腰部肌肉的基础上,结合强迫其长期保持坐位。
模型特点:(1)表现为慢性、复合性损伤。(2)可见肌纤维断裂、肌间隙增宽、炎症细胞浸润,且在分子层面(如Pf4基因、AMPK信号通路)表现出特异性变化。

地址:四川省成都市高新区天府大道北段1480号孵化园1号楼A座2-15 备案号:蜀ICP备2022006332号-1